무치악 임플란트

 

 

 

image.png

 
임플란트 04

무치악 임플란트란?


치주질환이 심해졌거나 나이가 들면서 잇몸상태가 안좋아져 치아를 받치고 있는
치조골이 많이 소실되면 치아가 흔들리며 하나둘씩 빠져 어느새 치아가 아무것도 남지 않아
틀니대신 전체 임플란트를 식립하는 무치악 임플란트입니다.

 

 

 

 

 

 

 

 

무치악 임플란트 치료과정

 

 

image.png

01
CT촬영 및 구강스캔으로
잇몸뼈분석하여 치아의 상태를 체크

image.png

02
  • 임플란트 식립은 필요 개수만큼 식립 후 여러개의 치아가 하나로 연결된 브릿지 형태 보철물을 필요에 따라 맞춤 제작

image.png

03
상악과 마찬가지로 임플란트 식립 후 브릿지 형태로 맞춤 제작해 사용

image.png

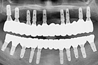
04
일상생활의 불편함을 줄이기 위해 당일 임시치아를 결합하여 일상생활이 가능

 

 

무치악 임플란트 종류

 

 

* 환자의 상태에 맞는 수술을 선택해야 합니다.

image.png

임플란트 틀니
고정식 임플란트 틀니
6개 정도의 임플란트를 식립하여 고정식으로 틀니를 연결하는 방식으로 저작력이 뛰어납니다.
단점 : 치과에 내원하여 보철물 청소해야함

image.png

임플란트 보철
고정식 임플란트 보철
8개 이상의 임플란트를 식립하여 반영구적으로 사용이 가능하며 자연치아와 유사합니다.
단점 : 치과에 내원하여 보철물 청소해야함

 

 

 

 

잇몸뼈 이식이 필요한 경우

 

image.png

 

인:플란트치과